Fucoidan boosant for new nutritional products development
Facoidan is a natural active polysaccharide containing sulfate in brown algae. It mainly exists in brown algae substrate, inter -cytoplasm and secrete mucus such as laminaria japonica, ascophylumm nodosum, kelp,fucus etc, It has an important role in antibacterial, moisturizing, and radiation protection for algae itself. Studies have found that the main ingredients of fucoidan are fucose and sulfate, and in addition, it also contains a small amount of D-mannose, D-glucosol acid, L-mouse lip sugar, etc.
In recent years, a large number of studies have confirmed that fucoidan has a variety of physiological effects, such as improving gastrointestinal tract, anti -tumor, treating chronic renal failure, enhancing immunity, and anticoagulant.
Shandong Jiejing Group Corporation has focused on the in -depth development and application of fucoidan and provides solutions as your detailed request.
At present, Shandong Jiejing Group Corporation provides customers with solutions mainly including 5 directions: removing Helicobacter pylori, protecting gastric mucosa, improving intestinal health, improving renal function, and preventing fatty liver.

The First solutions: removing Helicobacter pylori
Helicobacter pylori is the pathogenic bacteria that cause most gastric diseases and one of the culprits that lead to gastric cancer. At present, the mainstream method of eliminating Helicobacter pylori is the four -combined therapy, but there are the following disadvantages: the diversity of medication, the resistance to drug resistance and side effects are large. Scientific research has found that the unique sulfate base of fucoidan can be combined with Helicobacter pylori to make it unable to adsorb on the stomach wall. It is excreted from the body through the intestine, reducing the number of Helicobacter pylori and not affecting the number of beneficial bacteria in the body. It is similar to the method of physical removal, and has no side effects.
The results of clinical trials showed that the removal rate (77.3%) and standard four -reciprocal therapy (84.6 %) Close, the best removal rate for the combined therapy of fucoidan (100%); the application of Intoaccharobacre polysaccharides combined with four -reciprocal drugs can significantly improve the symptoms of the patient's digestive system by eliminating pylori. The rate decreases significantly.

The effectiveness of clearing Helicobacter pylori
The second solutions: protecting stomach (repairing gastric mucosa injury, root protection of the stomach)
Gastric mucosal injury is an early lesion reaction of gastric ulcers. Especially in a short period of time, it is the main cause of gastric mucosal damage to gastric mucosal damage. In recent decades, the incidence of acute alcoholic and chronic drug -based gastric mucosal damage has risen in recent decades. At present, a large number of studies have confirmed that fucoidan has a good protective effect on gastric mucosal damage induced by aspirin.
The experimental results show that for 30 days, fucoidan has significant protective gastric mucosa and inhibit gastric mucosal damage. In addition, fucoidan during the experiment have no adverse effects on the weight growth of rats.
The third solutions: Intestinal tract (two -way regulation, improving enteritis, constipation)
Inflammatic Bowel Disease (IBD) is a special intestinal inflammation disease that affects the rectum, colon and ileum. With the changes in lifestyle, the incidence of IBD in my country has shown a rapid growth trend in recent years. It has become a universal disease that plagues the health of the national digestive system.
The study results showed that fucoidan has a good improvement effect on the radioactive enteritis caused by relieving the treatment, including the number of defecation, the shape of the bowel movement, the number of abdominal pain, the severe severe symptoms of the weakness, and the symptoms of fatigue. The intervention of fucoidan can inhibit the expression of inflammatory factor, stabilize the inflammatory factors, thereby controlling the further development of the inflammatory response and reducing the effect of inflammatory damage.
Professor Ryuji Takeda, the University of Kansai University of Welfare Sciences, published the results of clinical research on improving constipation of fucoidan. They used 30 constipation patients as research goals, using double -blind random clinical trials, 15 fucoidan test groups, take 1 gram fucoidan, every day. 15 control groups, take placebo daily. The test results show that after 4 weeks of taking fucoidan, the number of defecation days, the number of defecation, the soft and hard defecation index, and the volume of defecation volume of constipation patients have been significantly improved. After 8 weeks of taking fucoidan, the effect is more obvious.

The forth solutions: Kidney (improving chronic renal failure)
By conducting modern research on the efficacy of kelp hydrophilic swelling, using advanced technology to analyze the efficacy of kelp, and found that fucoidan is the main active ingredients of Kelp hydrophilic swelling, and have a good therapeutic effect on chronic renal failure.
Fucoidan can significantly improve the renal function of patients with chronic renal failure, significantly reduce the content of serum creatinine and urea nitrogen. At the same time, it can correct the decline in anemia, lipid metabolism, and cellular immune function. Renal failure. (Journal of Clinical Kidney Diseases, June 2005, Volume 5, No. 3, 135-138.)

The fifth solutions: Liver (prevention and treatment of fatty liver)
Fatty liver is called Fatty Liver, which is more than 5%of liver lipids that exceeds 5%of the weight of liver dampness. The cause of formation is probably divided into chemical pathogenic factors, nutritional factors, biological factors and genetic factors.
"Environmental Toxicology and Pharmacology" research found that 100 mg/kg of fucoidan combined with 200 mg/kg di metama can effectively reduce high -fat diet (HFD) -induced NAFLD rats, total serum and triglyceride levels induced. , Inhibit TNF-α, IL-1β, and MMP-2, and have an insulin sensitivity effect, anti-inflammatory and antioxidant.

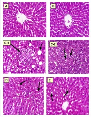
A and B: The slices of the control group and fucoidan group show the normal liver tissue;
C-1: 12 weeks of high-fat feed feeding, non-alcoholic fatty liver (NAFLD) group shows that hepatocytes of large bubbles (short arrows) and inflammatory cell infiltration (long arrows) related to inflammatory cells;
C-2: NAFLD group hepatocyte bureaus pheasant liver fibrosis accompanying inflammatory cell infiltration;
D: NAFLD+fucoidan Rat Hepatocytes of Hepathene Degeneia, and the fatty hepatitis is mild;
E: Nafld+dual -dual -dual -dual -group slices to show less fat change, less inflammatory cells, mild fibrosis of the door veins
The era of great health has arrived. As a rising star to help new nutritional products development, health products based on fucoidan are entering the stage of rapid development. At present, foods, drinks, health products, cosmetics, and even new markets in the field of foods have been opened. I believe that in the near future, fucoidan will set off a wave of health products!
Important: The functional expression involved in this article comes from the authoritative literature, and the above is only a science of knowledge, and it cannot represent any treatment suggestions.